Your Smile. Renewed.
Focusing on orthodontics for patients of all ages. If you’re looking to improve your smile book a free consultation today!
Digital Scanning
Goodbye to messy impressions and ill-fitting appliances—our fully digitized office prioritizes your comfort.
Custom Clear Aligners
Straighten your teeth without anybody noticing with invisible clear aligners. No brackets or wires.
Mobile Connectivity
Manage appointments, track treatment, and message your doctor directly from your smartphone.
Convenient Location
No need to drive to town—Island Orthodontics is the only practice serving North Shore, Oahu.
Conventional Braces
Sometimes you can’t beat the original. Move your teeth with Traditional braces to get a beautiful smile.
Welcome to Island Orthodontics
in Kahuku, Hawaii at the Ko’olauloa Health Center
Island Orthodontics proudly serves all communities of Oahu’s North Shore. Dr. David Jensen and his welcoming team are committed to offering everyone treatment with aloha and care in a friendly and welcoming environment.
The Difference a Smile Can Make
Island Orthodontics offers the most advanced treatment techniques to patients of all ages. Whether you’re looking to simply straighten a few teeth or total smile makeover, Dr. Jensen and his team can help. With a commitment to minimally invasive care, our approach is simple— provide each patient a confident smile they can be proud to show the world.
The Island Orthodontics Way
- 
      
        
          
        
      
      Dr. Jensen has developed close relationships with many dental providers on island to aid in a comprehensive approach to your oral health. 
- 
      
        
      
      With your specific goals in mind, we work to make sure that you can be confident in an individualized approach to your orthodontic care. 
- 
      
        
      
      With a variety of payment options, we make orthodontic care affordable for you and your family. 
- 
      
        
      
      Schedule appointments, complete paperwork, finance and communicate directly with Dr. Jensen all from your mobile phone thanks to Island Orthodontics' integrated patient portal. 
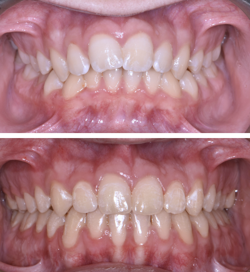
Smile Transformations
 
        
        
      
    
    Smile more.
56-119 Pualalea St, Kahuku, HI 96731
(808) 638-3078
Admin@IslandOrthodonticsHawaii.com


 
            
              
            
            
          
               
            
              
            
            
          
               
            
              
            
            
          
               
                       
                       
                       
                       
                       
                       
                       
            
              
            
            
          
               
            
              
            
            
          
               
            
              
            
            
          
               
            
              
            
            
          
               
            
              
            
            
          
               
            
              
            
            
          
               
            
              
            
            
          
              